ご予約・ご相談について

ご予約・ご相談はこちらから

当院の診療時間

診療時間
9:30-12:30
14:00-18:30 16:00まで
月1不定期
最終受付:
初診の方は終了45分前まで /
再診の方は終了30分前まで
月1回の日曜日の不定期診療は、16:00までとなります。

ご予約・ご相談について

お電話でのご予約・ご相談は以下よりお電話ください。

ご予約はこちらより
お取りください。

メールでのご相談

診療のご相談・セカンドオピニオンをご希望など不安なことがあれば以下よりご相談ください。

当院の診療時間

診療時間
9:30-12:30
14:00-18:30 16:00まで
月1不定期
最終受付:
初診の方は終了45分前まで /
再診の方は終了30分前まで
月1回の日曜日の不定期診療は、16:00までとなります。
ORTHO-
DONTICS

矯正歯科

「審美と機能の共存」
これが当院の
矯正治療です。

悪い歯並びを治したい。そう思って矯正治療を検討される方が最も多いです。口元の印象はその人の印象を決めると言っても過言ではないため、強い思いを持って治療する決断をされているのではないかと思います。

そこで患者さんに1つ、お伝えしたいことがあります。矯正歯科のメリットは、綺麗な歯並びにすることだけではありません。噛み合わせや虫歯・歯周病の予防に繋がるなど様々なメリットを得ることができます。

当院は「審美(見た目)と機能(噛み合わせなど)の共存」を目指し、あなたの人生において本当に意味のある矯正治療を行います。

あなたに知ってほしい「噛み合わせ」のこと

一番最初にお伝えしたいことは、
「歯並びが良い=噛み合わせも良い」というわけではない
ということです。

歯並びが良いのと噛み合わせが良いのは別であるということをまずは認識していただきたいと思います。
審美面を改善することは重要なことですが、噛み合わせを無視してしまうと、中長期的に様々な問題を引き起こすことに繋がります。では、どのような問題が起こるのでしょうか。

次にご紹介します。

悪い噛み合わせによる問題

噛み合わせが悪いとこれらの問題が引き起こされてしまいます。
年齢を重ねるとその症状は顕著になります。見た目も重要ですが、機能改善を行うことがあなたの人生に良い影響を与えてくれるということも知っていただけたらと思います。

咬合性外傷

雑草を抜くときの原理で、歯ぎしりによって歯が揺らされることによって、歯がグラつき結果的に歯が抜けてしまいます。

顎関節への影響

悪い噛み合わせによって顎に負担がかかり、口が開かない、顎が痛いなど、顎関節症の症状が現れます。

歯周病の進行を
早める

咬合性外傷と同様に、歯ぎしりによって歯が揺らされてしまい、歯周病の進行速度を早めます。

歯にヒビが入る、
歯根破折

噛み合わせは人間の体重ほどの負荷がかかると言われています。
強い噛み合わせによって歯にヒビが入ったり、歯根破折のリスクが高くなります。

当院が目指す矯正治療
について

「審美×機能性」の双方を改善する矯正治療を目標としています。
その目標を達成するための要素を、審美と機能に分けてご説明致します。

審美について

  • 正中線が顔貌と一致している
  • 歯の先端のバランスが取れている
  • 歯間が開いていないこと
  • 上顎の歯茎が見えすぎないこと
  • Eライン(エステティックライン)

機能について

  • 顎に違和感や痛みがないこと
  • 噛み合わせた時に奥歯が両側の奥歯が均等に当たっている
  • 軽く噛み合わせた際に、上の前歯が下の歯に強く当たらない
  • 上下の犬歯(3番目の歯)がしっかり噛んでおり、左右にずらしても当たっている
  • 犬歯を左右にずらした際に、奥から2本の歯が当たらない

これらの項目を考慮して矯正治療を行います。
どのような装置で矯正治療をするかも重要ですが、どの装置を選択したとしても、審美面と機能性が充足していることが最も大切であると考えています。

矯正治療に年齢は関係ありません

矯正治療は子供〜20代の方がするものと思われていて、50代の方に矯正治療のお話をしたら「えっ?私でもできるんですか?」と言われて驚かれている方は少なくありません。

矯正治療に年齢は関係ありませんのでご安心下さい。
先程ご説明しましたが、審美面だけでなく機能面の回復にも矯正治療は役に立ちますので、歯周病治療や補綴治療と組み合わせた治療計画を立てる場合もあります。

矯正治療は若い人のもの諦めていたら、一度当院へご相談下さい。

対応できる矯正装置の種類

ワイヤー矯正
(表側 / 唇側)

歯の表面にブラケットを装着し、ワイヤーを調整しながら歯を動かしていく装置です。最も認知度の高い矯正装置です。ブラケットやワイヤーを白いものにして目立たなくすることもできます。

ワイヤー矯正
(裏側 / リンガル)

通称裏側矯正と呼ばれている目立たない矯正装置です。
歯の裏側に矯正装置を取り付け、ワイヤーを調整しながら歯を動かしていく方法になります。目立たない装置の先駆けと言えます。

ハーフリンガル矯正
(上顎 裏側 / 下顎 表側)

上は裏側矯正で下が表側矯正のコンビネーションで矯正治療を行います。目立つ上のみを裏側にすることで、装置が目立つのを抑えています。出来る限り目立たせたくない方におすすめです。

インビザライン
(マウスピース型矯正装置)

マウスピース型という特徴を活かし、目立たない・痛みが少ない・取り外しができる矯正装置です。1日の使用時間を守る必要がありますが、装置が気になる方には年齢問わず幅広いニーズがあります。

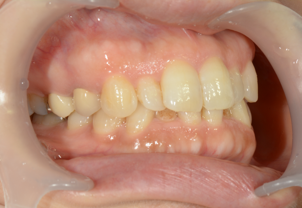
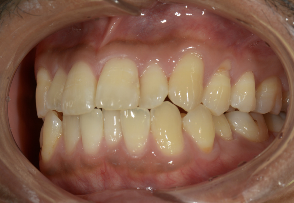
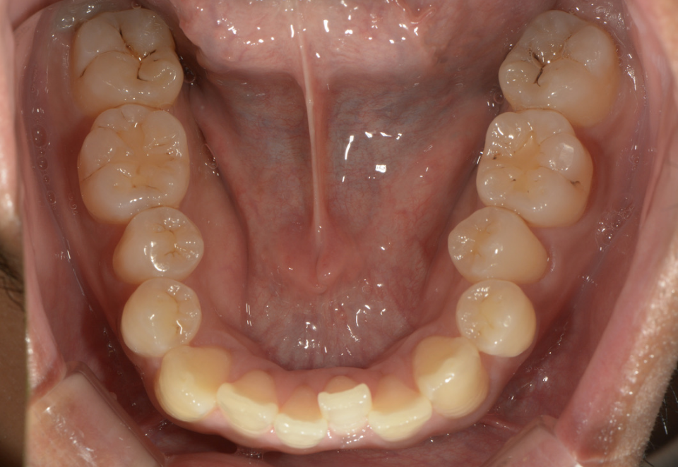
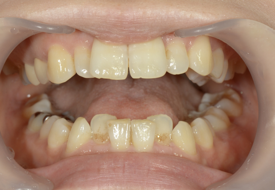
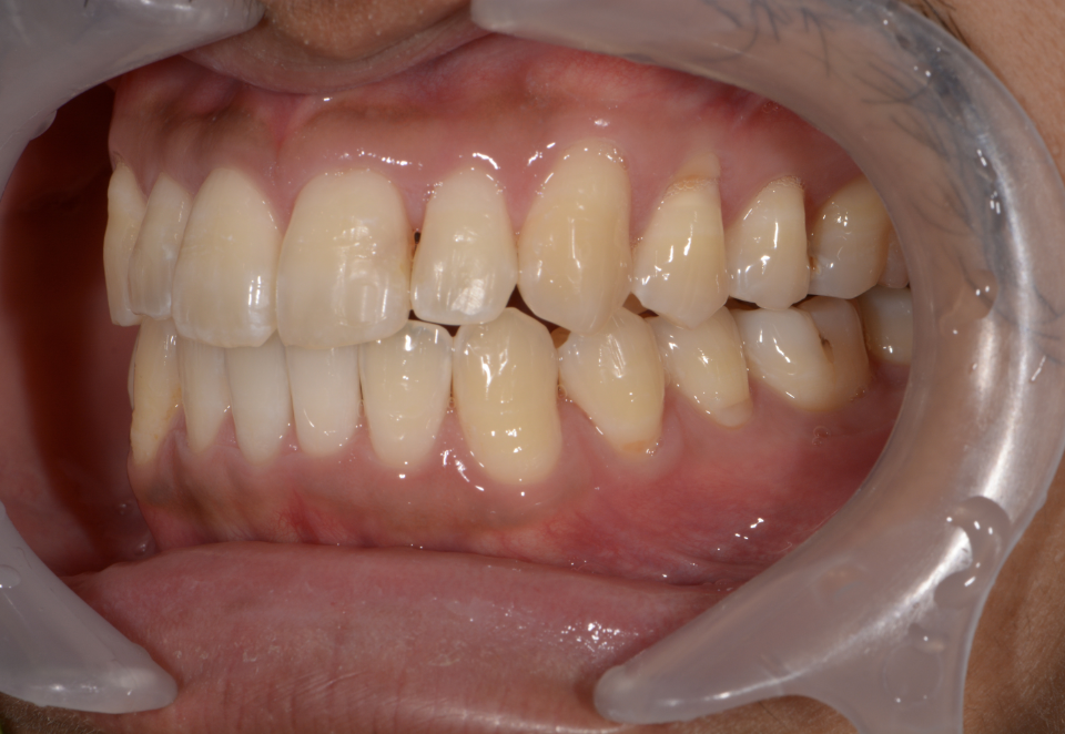
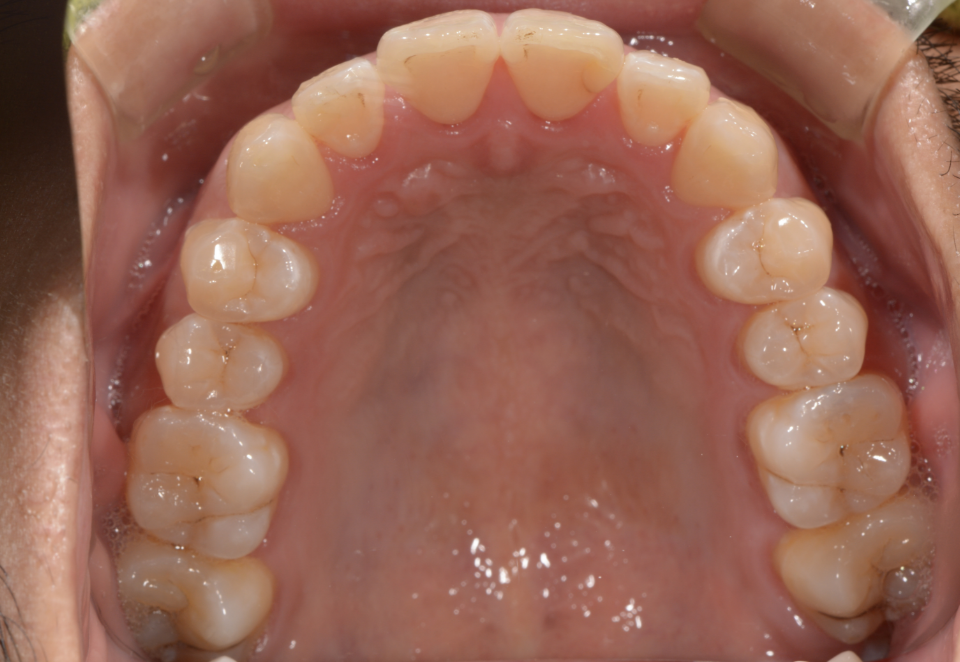
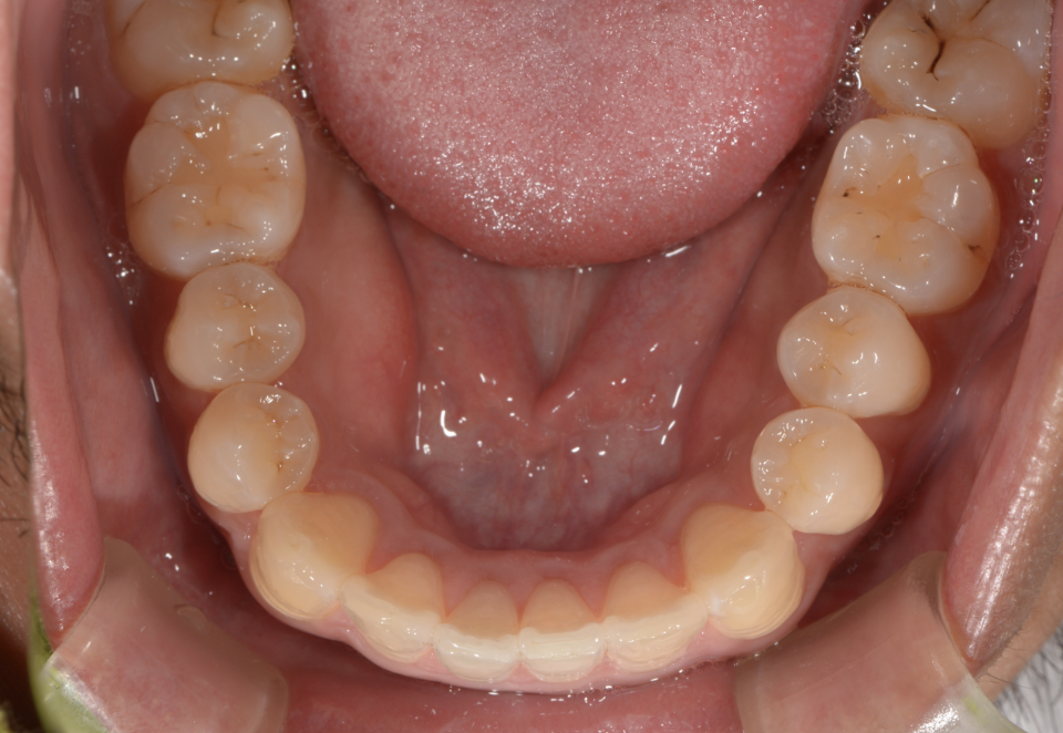
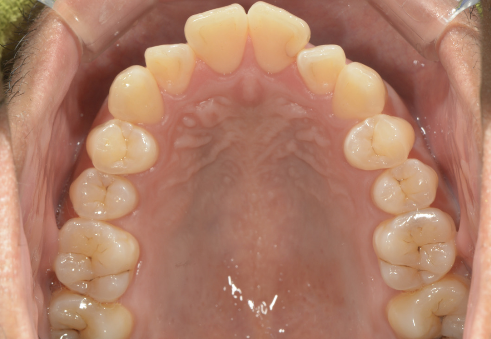
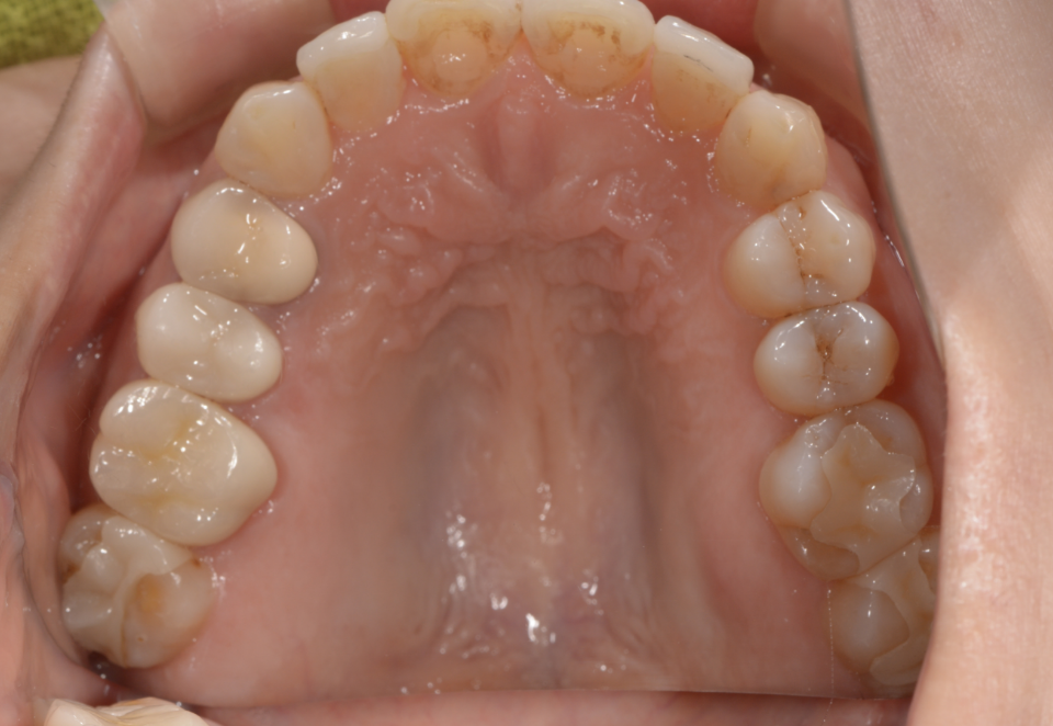
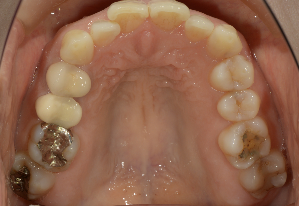
叢生(乱杭歯)・過蓋咬合を矯正治療で改善した症例

BEFORE

AFTER

症例概要

年齢・性別
30代 女性
主訴
デコボコした歯並びが気になる
診断
叢生・過蓋咬合
治療
インビザラインgoによる矯正治療
治療期間
約半年
リスク
装着時間を守らないと後戻りする可能性がある。歯肉退縮の可能性がある。
金額
550,000円(税込)
矯正治療のみ

術前の写真

術後の写真

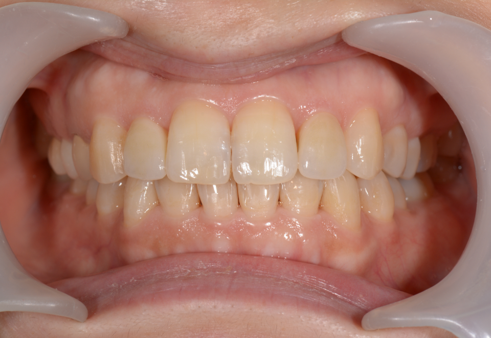
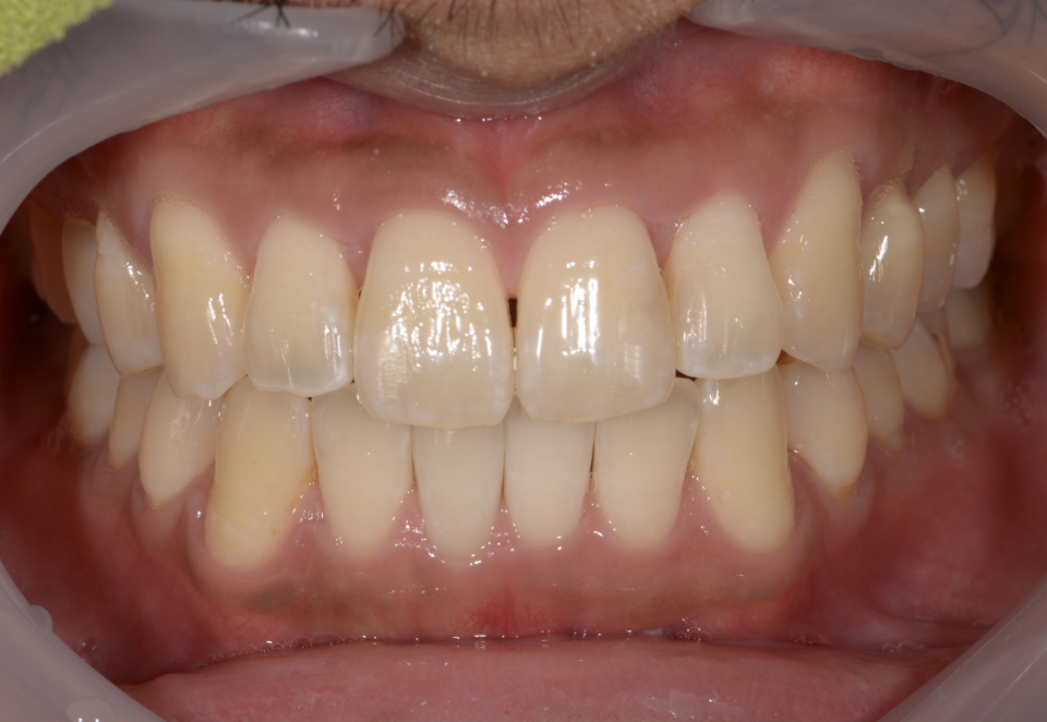
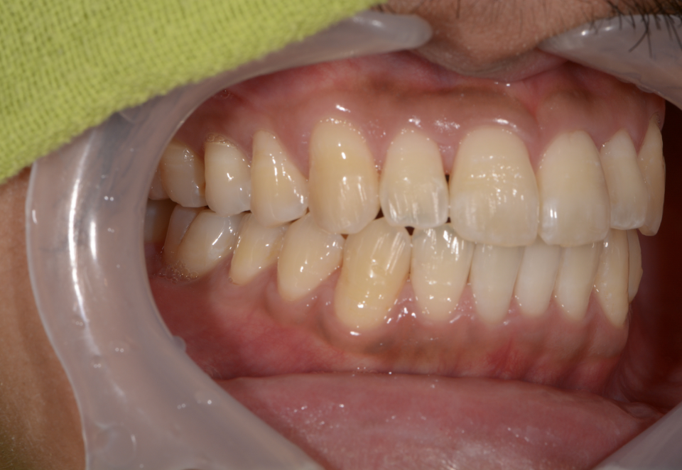
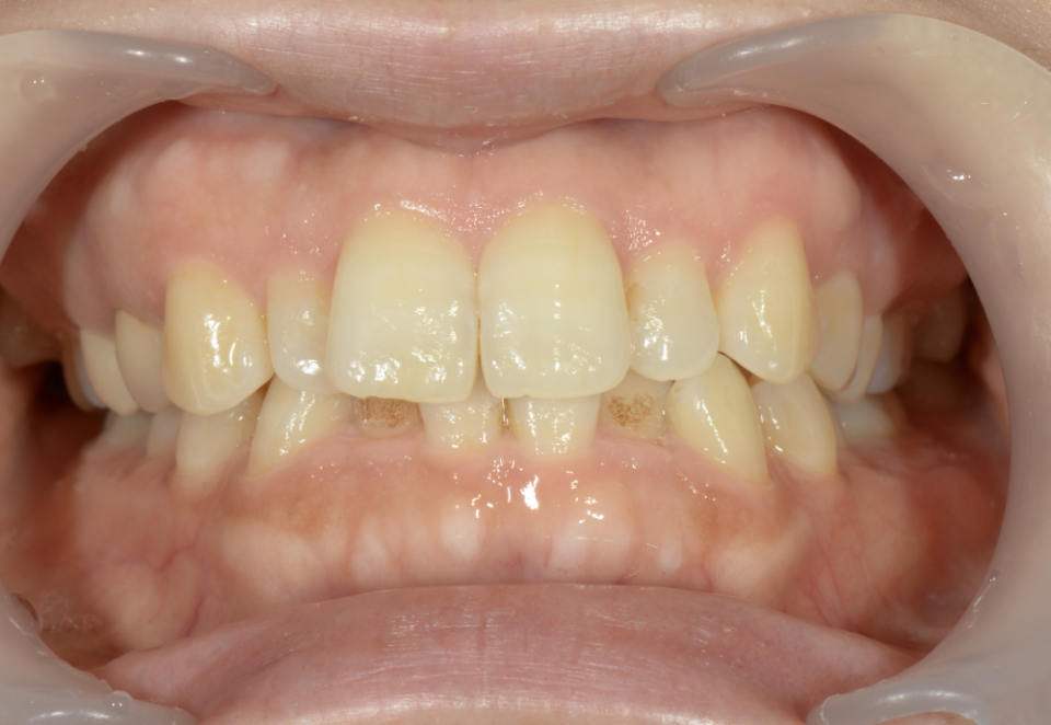
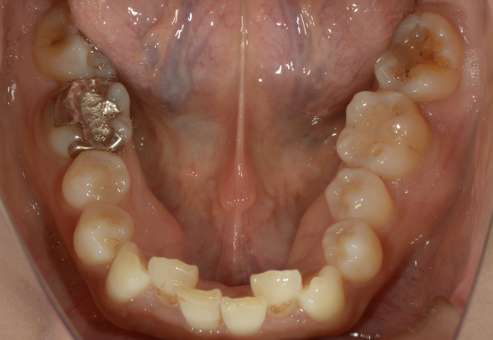
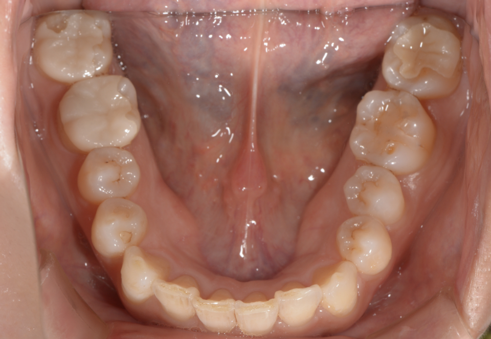
軽度の叢生を矯正治療で改善した症例

BEFORE

AFTER

症例概要

年齢・性別
30代 男性
主訴
歯並びをきれいに
診断
前歯叢生
治療
インビザラインgoによる矯正治療
治療期間
約1年
リスク
矯正後の保定装置を使用しないと後戻りする可能性がある。歯肉退縮の可能性がある。
金額
550,000円(税込)
矯正治療のみ

術前の写真

術後の写真

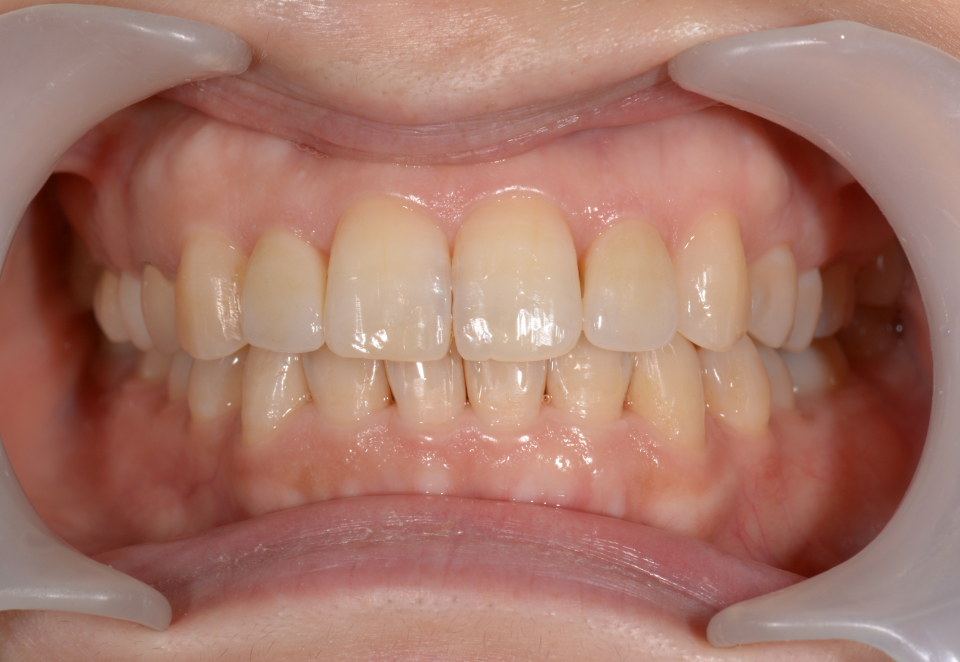
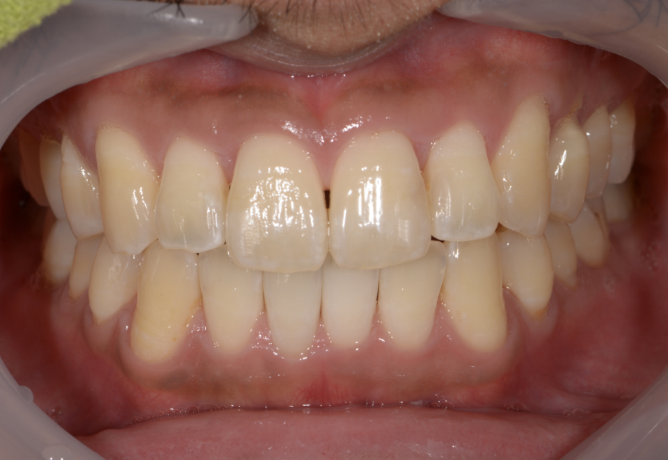
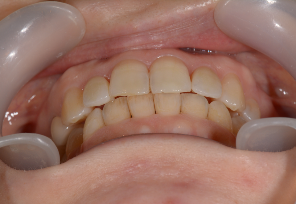
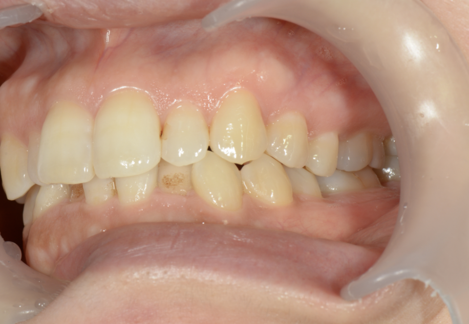
叢生・開咬・上顎前突を矯正治療で改善した症例

BEFORE

AFTER

症例概要

年齢・性別
30代 女性
主訴
歯のデコボコと前歯の2本が前に出ている
診断
叢生・開咬・上顎前突
治療
インビザラインgoによる矯正治療
治療期間
約半年
リスク
装着時間を守らないと後戻りする可能性がある。歯肉退縮の可能性がある。
金額
550,000円(税込)
矯正治療のみ

術前の写真

術後の写真

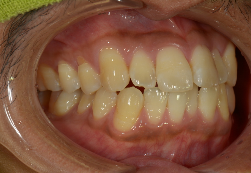
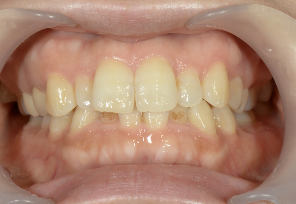
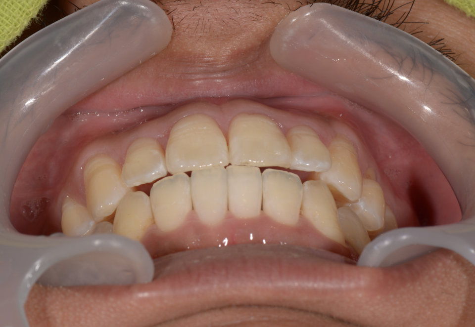
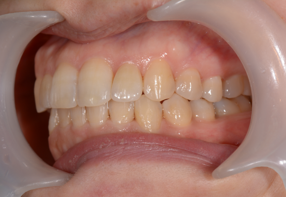
前歯の叢生を矯正治療とラミネートベニアで改善した症例

BEFORE

AFTER

症例概要

年齢・性別
30代 女性
主訴
悪いところは治したい、歯並びも気になる
診断
前歯叢生
治療
拡大床及びインビザラインgoによる矯正治療
治療期間
約2年
リスク
矯正後の保定装置を使用しないと後戻りする可能性がある。歯肉退縮の可能性がある。
金額
1,100,000円(税込 / 矯正及びセラミック修復代含む)
内、矯正治療660,000円(税込)
上顎左右側切歯はラミネートベニア

術前の写真

術後の写真

まずは矯正相談からはじめませんか?

矯正治療をご検討になられたらまずは当院の診療相談をご利用下さい。

歯科医師があなたのご相談に耳を傾け、心ゆくまでカウンセリング致します。
診療相談はお電話もしくは相談フォームより承っております。

お気軽にお問い合わせ下さい。

当院は完全予約制です。日程には余裕を持ってお問い合わせ下さい。

More Contents

News

新着情報

Access

アクセス

東京都中央区八重洲1-7-20 八重洲口会館 1階

診療時間
9:30-12:30
14:00-18:30 16:00まで
月1不定期
最終受付:
初診の方は終了45分前まで /
再診の方は終了30分前まで
月1回の日曜日の不定期診療は、16:00までとなります。

八重洲地下街17番街出口 目の前